|
福建卫生健康新闻网讯(通讯员 王体惠 文/图)近日,家住霞浦县的54岁王阿姨,长期右侧膝关节疼痛,尤其是上下楼梯困难,严重影响日常生活。慕名求诊于闽东医院关节外科与运动医学科,在该科王旭主任医师的带领下,成功为王阿姨施行宁德市首例人工髌股关节置换术,为患者拔“病根”让“旧”关节重焕新活力,帮助患者恢复关节功能,提高生活质量。
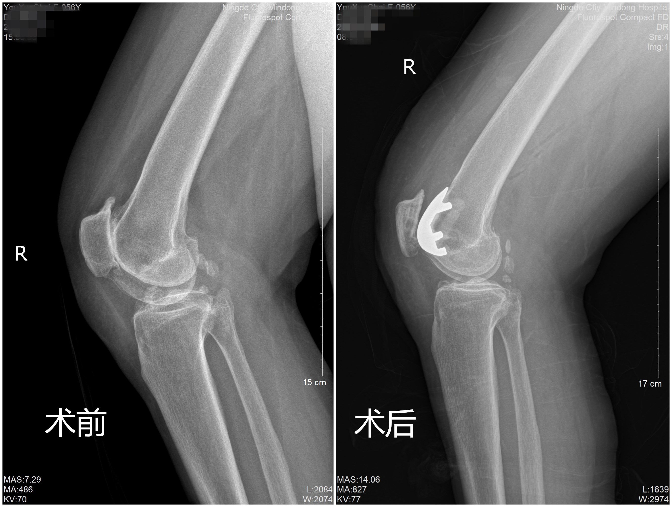
患者入院后,王旭主任医师、吴锦清主任医师、王体惠副主任医师详细询问她的病史,仔细检查患者膝关节,指出其主要病症在髌股关节,而胫股关节相对比较完好,经X线摄片及核磁共振检查后确诊为右侧髌股关节炎。认为患者有行人工髌股关节置换指征,经征得患者及其家属同意和做好充分术前准备,为患者行人工髌股关节置换术,手术仅用一个多小时,术中出血少,术后患者膝关节肿胀轻,术后第二天下地行走,术后五天康复出院。 王旭介绍说道,人工髌股关节置换术主要适用于单纯性髌股关节炎、创伤性髌股关节炎、髌骨软化症及股骨滑车发育不良等情况引起的髌股关节活动性疼痛及活动受限,主要人群为40-65岁的中老年患者,女性居多。人工髌股关节置换术为膝关节单间室置换术,相比人工全膝关节置换术,手术创伤小、出血少、术后恢复快,同时保留膝关节正常生理运动学特征及本体感觉,术后膝功能更加理想。 髌股关节炎需要引起中老年人重视,如果髌股关节炎得不到及时的治疗,会严重影响患者的日常生活。王旭提醒说道,预防髌股关节炎,控制体重是关键。过度肥胖会让膝关节承受更大的压力、会让膝关节退化加速。同时,运动要合理,错误锻炼会加重膝关节的退变,爬山、半蹲位等不适合膝骨关节炎患者。平时要注意对关节的保护,如经常蹲下或跪下取物、坐矮凳子、下跪擦地板都会增加髌股关节的受力和摩擦,伤害关节。 随着医学的不断进步,医疗技术的不断发展,很多关节疾病都能得到很好的治疗,取得相对满意的疗效,提高患者的生活质量。单间室膝关节置换手术是微创化人工关节置换手术,术后恢复更快、住院时间更短。闽东医院关节外科与运动医学科在王旭的带领下,精益求精,追求卓越,用自己的实际行动诠释医者初心和使命,为闽东人民的“关节”健康筑起了坚强保障。 |
